Insulinoma Ga-68 Dotatate PET-CT
(Prepared by Dr René Fernandez)


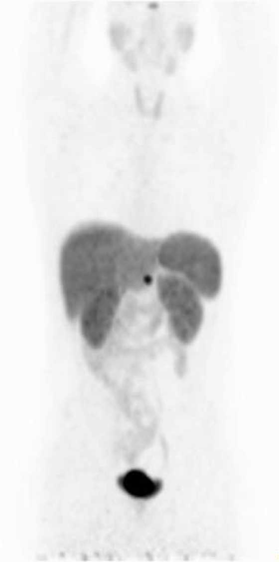
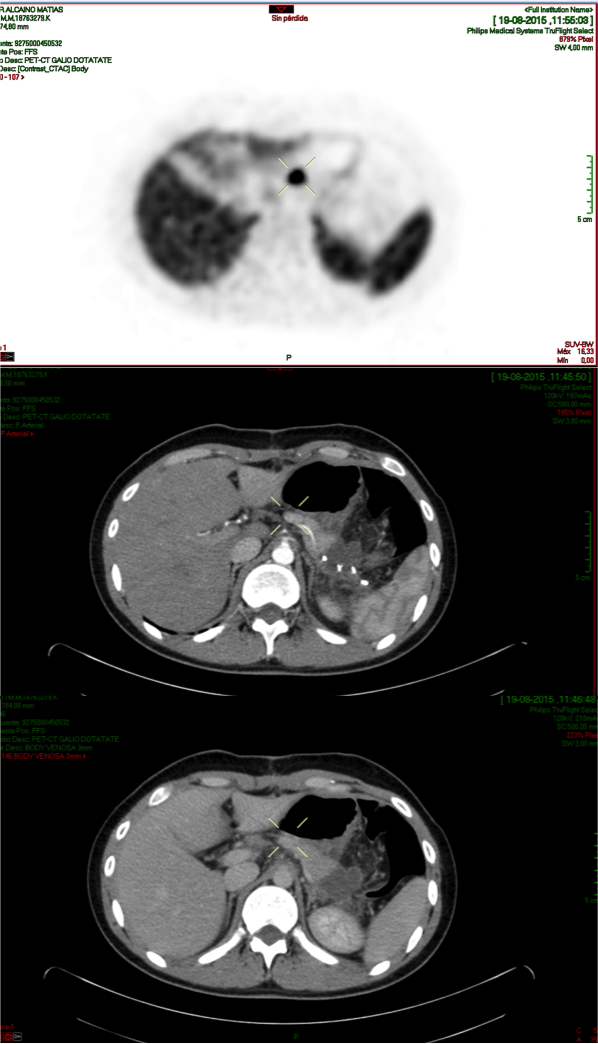
Male, 20 y/o, with hypoglycemia operated on twice of insulinoma. Asymptomatic, MR showed a possible lesion in the pancreas. It was requested PET-CT withGa68 DOTANOC. A nodule is seen in the body of pancreas, 15 mm, SUV max of 29 (cross in transaxial slices). The upper CT slice shows the arterial phase with nodular enhancement and at the bottom the venous phase, (cross both in PET and CT images).
References:
1 Evaluation of (68)Ga-DOTANOC PET/CT imaging in a large exclusive population of pancreatic neuroendocrine tumors. Sharma P, Arora S, Dhull VS, Naswa N, Kumar R, Ammini AC, Bal C. Abdom Imaging. 2015 Feb;40(2):299-309.
2 Detection of insulinoma using (68)Gallium-DOTATATE PET/CT: a case report. Sadowski SM, Neychev V, Cottle-Delisle C, Merkel R, Yang LA, Quezado MM, Chang R, Kebebew E. Gland Surg. 2014 Nov;3(4):E1-5.
Home Index 68Ga Dotatate Tumor Imaging Clinical Applications